‘Ini Cara Saya Tahu Saya Memiliki Batu Tonsil’: Bagaimana Gangguan yang Aneh Ternyata Mengganggu Kualitas Hidup Seorang Pasien
Tentang ahli
|
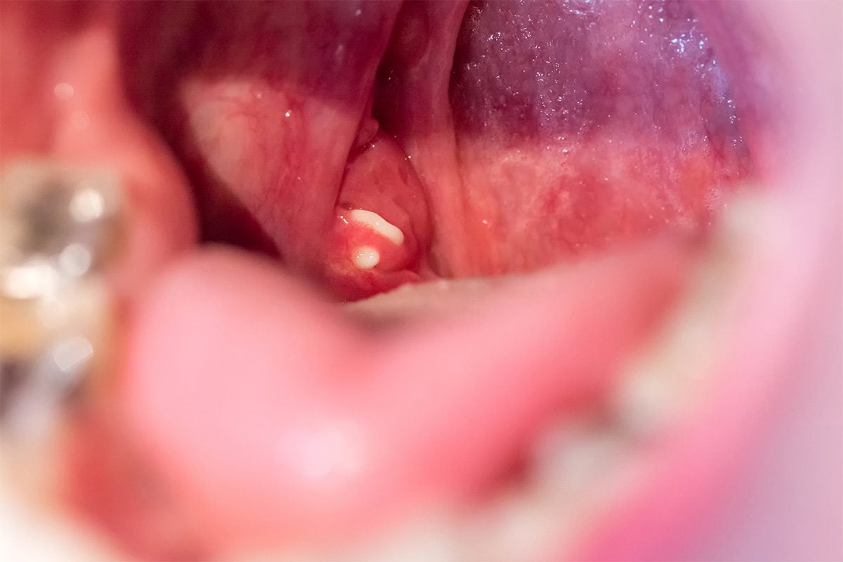
Batu tonsil adalah kumpulan kecil dari sisa makanan, endapan kalsium, dan bakteri normal yang hidup di dalam mulut, menjelaskanDr. Miriam O’Leary, MD, Ketua Otolaryngologi (dokter telinga, hidung, dan tenggorokan) di Tufts Medical Center di Massachusetts. Elemen-elemen ini “terjepit di dalam kriptus, yang merupakan ‘kantong-kantong kecil’ pada amandel.” Dr. O’Leary mengatakan bahwa batu amandel cukup umum, terutama pada orang dewasa muda.Harvard Healthlaporan yang menyebutkan hingga 40% orang memiliki batu amandel, dan banyak yang tidak menyadari hal itu.
Salah satu alasan batu amandel mungkin tidak terdeteksi adalah karena mereka biasanya tidak menyebabkan kerusakan jika dibiarkan tanpa pengobatan, kata Dr. O’Leary. “Kebanyakan biasanya keluar sendiri,” jelasnya. “Namun, beberapa pasien melaporkan ketidaknyamanan tenggorokan dan bau mulut yang terkait dengan batu amandel.”
Dalam kasus-kasus ini, batu amandel dapat secara serius memengaruhi kualitas hidup seseorang. Teruslah membaca karena seorang pasien menceritakan beban harian dari batu amandelnya—dan pengobatan yang ia coba saat pengobatan umum tidak berhasil.

Cara saya mengetahui bahwa saya memiliki batu amandel: Misteri setahun yang mengganggu
Oleh Natalie dari Boston, sebagaimana dikisahkan oleh Leslie Finlay, MPA
Sejak kecil, Natalie mengatakan dia cenderung mengalami sakit tenggorokan danRadang tenggorokan oleh bakteri streptokokus. “Dalam beberapa tahun terakhir, itu lebih sering terjadi—dan kemudian, mungkin selama setahun terakhir, saya mengalami batu amandel… Saya selalu merasa sakit di tenggorokan, seperti ada sesuatu di dalamnya,” kata Natalie. “Cara terbaik yang bisa saya jelaskan adalah seperti biji jagung yang tersangkut di tenggorokan saya. Sangat tidak nyaman.”
Dia mengatakan bahwa terkadang, terasa seperti sesuatu ada di belakang mulutnya, dan lidahnya secara refleks mencoba mendorongnya keluar: “Tiba-tiba, sebuah bola kecil akan muncul, dan itu sangat mengejutkan. Sangat menjijikkan. Memiliki bau yang buruk dan bau tak sedap. Dan itu juga membuatmu merasa tidak percaya diri, kamu merasa seperti selalu memiliki…”bau mulut.”
Pada awalnya, dia berkata, “Saya tidak tahu dari mana mereka berasal.” Dia belum pernah mendengar tentang batu amandel. “Saya tidak bisa memahami apa yang terjadi pada saya.”
Dr. O’Leary menjelaskan bahwa bentuk dan ukuran amandel seseorang bervariasi, dan amandel yang besar dengan lebih banyak “kantong” lebih mungkin menumpuk batu amandel. “[Dokter umum saya] tahu saya memiliki kantong-kantong di amandel saya,” kata Natalie, “lubang kecil yang mereka katakan berasal dari amandel saya yang rusak akibat berbagai infeksi strep throat yang pernah saya alami.”
Ketika dia menjelaskan gejalanya melalui telepon, kantor dokter umumnya (PCP) menyarankan bahwa itu mungkin radang tenggorokan bakteri. “Saya tidak mengidap radang tenggorokan bakteri,” katanya, yang sudah akrab dengan efek infeksi bakteri tersebut. “Tapi saya terkejut bahwa bahkan [dokter saya] tidak tahu batu amandel adalah masalah saya sampai saya pergi dan melihatnya.”
Kekeliruan ini tidak jarang terjadi, menurut Dr. O’Leary. “Batu amandel dapat disalahpahami sebagai radang amandel bakteri, yang dikenal sebagai sakit tenggorokan strep, yang dapat menyebabkan bercak putih atau kuning kecil pada amandel yang sebenarnya adalah nanah,” jelasnya. “Namun, radang amandel memiliki gejala lain yang tidak dimiliki oleh batu amandel—nyeri tenggorokan, yang biasanya parah, pembengkakan akut pada amandel, demam, dan kelenjar getah bening di leher yang membengkak.”
Saat dia mencoba memahami apa yang terjadi, Natalie belajar bahwa orang-orang lain yang dia kenal juga mengalami batu amandel. “Kami berbagi cerita, dan saya menyadari bahwa cerita saya terjadi terlalu sering,” katanya mengenang. “Saya sedang berkendara dan merasa ada sesuatu di lidah saya, lalu saya melihat ke cermin dan melihat benda putih kecil di belakang mulut saya. Saya harus berhenti dan mencoba mengeluarkannya—itu membuat seluruh mulut saya terasa seperti tercemar.”
Cara mengatasi batu tonsil
Dr. O’Leary mengatakan bahwa berkumur dengan air garam setelah makan dan penggunaan dariWaterpikdapat membantu mencegah penumpukan makanan di amandel. “Pasien sering kali dapat mengeluarkan batu amandel sendiri dengan menggunakan kapas untuk mendorongnya keluar secara lembut,” katanya. “Langkah-langkah konservatif ini bekerja dengan baik untuk banyak pasien.”
Sayangnya bagi Natalie, obat kumur air garam tidak berdampak pada serangan flare-up-nya. “Kemudian saya menggunakan kapas leher angsa dan mencoba mendorongnya keluar, tanpa menyadari bahwa kamu bisa memiliki empat dari mereka dalam satu saku,” katanya. “Itu sangat buruk.”
Solusi permanen untuk mengatasi batu tonsil
Seringkali, kata Dr. O’Leary, pengangkatan amandel (pengangkatan amandel) dilakukan pada pasien yang mengalami batu amandel yang sering dan mengganggu yang tidak merespons pengobatan biasa. Itulah jalan yang dianjurkan Natalie: “Saya pergi ke dokter umum saya karena tenggorokan saya sakit dan amandel saya semakin bengkak dan merah karena terdapat penumpukan,” katanya. “Saya bilang ke dia ada sesuatu di tenggorokan saya, bentuk bola kecil, dan dia mencoba mengeluarkannya. Sangat dalam, dan itu menyakitkan serta mulai berdarah saat dia menekannya. Lumayan menakutkan seberapa dalam mereka bisa terjadi.”
Itulah saat dokter Natalie merujuknya ke seorang spesialis THT, di mana mereka menentukan bahwa Natalie adalah kandidat yang baik untuk tonsilektomi—pengangkatan amandelnya. “Dia bilang amandel saya besar, dan saya akan lebih sehat dalam jangka panjang,” tambahnya.
Ada satu masalah: “Masalahnya adalah [batu tonsil] dianggap sebagai hal kosmetik, jadi harus ada tingkat tertentu sebelum mereka bisa menentukan apakah kamu perlu mengangkat amandel,” jelas Natalie. “Dalam kasus saya, amandel saya membesar, jadi ketika mereka membengkak, agak berbahaya karena saya kesulitan bernapas [atau] menelan kadang-kadang. Saya memilikirefluks asam lambungdi atas itu, yang menambahkan [ketidaknyamanan]. Semua hal itu mendorong saya untuk mengangkat amandel saya sebagai orang dewasa.”
Kekhawatiran lainnya adalah tahap hidupnya. “Saya ingat membawa kedua anak saya untuk mengangkat amandel mereka—tapi sebagai orang dewasa, mereka mengatakan itu jauh lebih berbahaya,” katanya. “Mereka tidak berbohong ketika perawat memberi tahu saya bahwa pemulihan operasi ini salah satu yang terburuk. Saya bahkan tidak akan menyembunyikannya. Ini selesai, terima kasih Tuhan, tapi butuh hampir sebulan sebelum Anda merasa seperti biasa, bahkan tidak berani makan sesuatu karena takut membuatnya berdarah atau menimbulkan masalah.”
Meskipun pengobatannya sulit, Natalie mengatakan dia berharap dia telah melakukan prosedur itu saat dia masih muda. “Mengbiasakan diri tanpa batu amandel atau amandel kemungkinan akan menjadi hal yang luar biasa. Tidak ada orang yang seharusnya hidup seperti itu.”
Apa yang harus dilakukan jika Anda curiga memiliki batu amandel
Jika Anda memperhatikan bau mulut yang terus-menerus, sakit tenggorokan yang berulang, atau titik putih atau kuning yang terlihat pada amandel Anda, kemungkinan besar batu amandel adalah penyebabnya. Lainnyagejaladapat mencakup perasaan sesuatu yang tersumbat di tenggorokan—seperti gejala “biji jagung” Natalie—kesulitan menelan, batuk, atau rasa buruk di mulut.
Dr. O’Leary mengatakan bahwa jika Anda mengalami gejala-gejala ini, buatlah janji dengan penyedia layanan kesehatan utama Anda. Dokter Anda mungkin menyarankan perubahan gaya hidup yang sering membantu mengelola atau menghilangkan batu amandel, seperti:
Mengkumur dengan air garam (atau menggunakan Waterpik atau flosser air yang direkomendasikan lainnya) setelah makan
Menggosok danMenggosok gigi dengan benangkamu secara teratur
Membatasi asupan gula
Minum air secukupnya
Tidak merokok
Tetapi jika batu amandel Anda kronis, menyakitkan, dan tidak merespons pengobatan standar ini, seorang spesialis dapat membantu. Dokter umum Anda seharusnya dapat menentukan apakah, seperti dalam kasus Natalie, batu amandel Anda parah dan harus dievaluasi oleh seorang ahli THT.
Untuk pembaruan kesehatan harian, berlanggananlah keSehat olehReader’s Digestnewsletterdan ikutiSehatdiFacebookdanInstagramsaya. Teruskan membaca:
- “Begini Cara Saya Tahu Saya Menderita Kanker Tenggorokan”: Cerita Seorang Pasien Setelah Gejala Dilewatkan
Obat Paling Sederhana untuk Bau Mulut, Kata Seorang Dokter Gigi
Jika Flu Anda Berlangsung Lama, Berikut 13 Hal yang Bisa Jadi Artinya
Bintil di Atas Langit-langit Mulut: Penyebab, Pengobatan, dan Kapan Harus Mencari Bantuan
- Grass Fire in San Patricio County Fully Contained, But Danger Lingers - April 23, 2026
- Soal HOTS Gerak Dominan Senam PJOK Kelas 6 SD - April 23, 2026
- Chicago Weather: Cold Front Drops Temperatures to 40s with Rain Chances Sunday - April 23, 2026




Leave a Reply